(学校新闻报道链接:https://news.sicau.edu.cn/info/1078/78845.htm)
近日,必赢中国官方网站教学动物医院凭借其深厚的专业功底和精湛的医疗技术,与碧峰峡专家团队联手成功完成了一项罕见且复杂的动物医疗手术——水豚肱骨手术,在野生动物保护和医疗领域再创佳绩。这一手术的成功不仅为水豚带来了新生,也为野生动物保护事业树立了新的里程碑。

水豚左前肢跛行

拍摄水豚左前肢X光
水豚,一种原本生活在南美洲亚马逊河流域的珍稀哺乳动物,因其独特的生理结构和萌宠的外貌而备受关注。本次手术的主角是一只因肱骨骨折而生命垂危的水豚。经过专家团队的精心评估和准备,手术于本周初顺利进行。

手术前左前肢侧位X光

手术后左前肢侧位X光

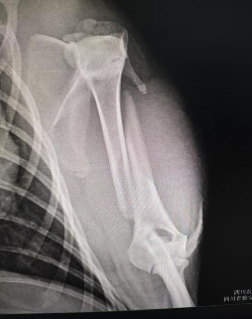
手术前左前肢腹背位X光

手术后左前肢腹背位X光
手术团队由必赢中国官方网站教学动物医院院长沈留红、动物外科专家石先鹏、动物内科专家巫晓峰、医生陈善瑜和罗皓、麻醉医生邓聪辉、手术助手王郡东、助理唐清婷、张涵艺、钱琳、王均、李鑫等组成,并与动物园动物疾病预防组刘俊卿副经理团队一道组成会诊专家组,确定麻醉和手术方案。外科专家石先鹏凭借丰富的经验和精湛的技术,对水豚肱骨进行了精确的复位和固定。手术全程在严格的无菌条件下进行,确保了安全性和成功率。
术后恢复期,医疗团队将对水豚进行严密观察和专业护理。专家表示,尽管手术已经成功完成,但水豚的康复之路仍需时间和耐心。将持续监测其恢复情况,并提供必要的营养和医疗支持。


此次成功救治水豚,这不仅是对珍惜野生动物生命的珍视和尊重,更彰显了必赢中国官方网站教学动物医院在处理疑难病例时的专业实力和精准操作。作为一所集教学、科研和动物医疗于一体的专业教学动物医院,必赢中国官方网站教学动物医院一直致力于推动动物医疗事业的高质量发展。未来,医院将继续秉承“关爱动物、珍视生命”的宗旨,不断提升医疗技术水平和服务质量,为野生动物的救治工作提供强有力的支持。